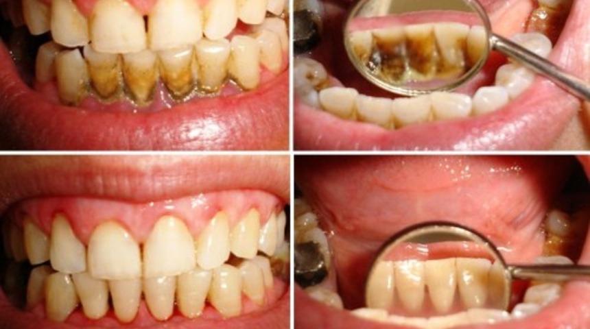
Gönül rahatlığıyla gülmek bazen birçok şeye bedeldir, ancak çoğu kişi dişlerindeki problemler nedeniyle bunu yapamaz.

Pek çoğumuzun başına gelmiştir. “Çekmeyen bilmez” denir ya. Diş ağrısı, diş çürükleri, apse, iltihaplanma gibi çok sayıda nedenden dolayı günümüz zehir olur, ağrıyı bir türlü dindiremeyiz. Ağrıya neden olan ve en sık karşılaştığımız problemlerin başında diş çürükleri gelir. İlaçların da kimi zaman fayda etmediği diş ağrısına iyi gelecek bitkisel çözümler vardır.

Bu doğal çözümler diş çürüklerinin tedavisinde zaman zaman ilaçlardan bile daha etkili sonuç verebilmektedirler. Ev yapımı bu macunlar, doğal olup, etkili, hazırlaması kolay ve kullanım açısından sağlığa hiçbir zararı yoktur.
Diş sağlığı için D ve K vitamini bakımından zengin yiyeceklerin tüketilmesine dikkat etmek gerekirken bu bitkisel tarifler de size yardımcı olacaktır.

Hindistan cevizi ve zerdeçal karışımı;
Malzemeler:
Çeyrek çay kaşığı organik hindistan cevizi yağı,
2 damla karanfil yağı,
Bir fiske tuz,
Çeyrek çay kaşığı toz zerdeçal.
Hazırlanışı: Malzemeleri bir kasede iyice karıştırın ve diş fırçası yardımı ile dişlerinize sürün ve fırçalayın. Bu şekilde dişlerinizi yıkamadan 5 dakika bekletin. Sonrasında ılık su ile ağzınızı çalkalayın.
Nane ve karbonat ile dişlerde şaşırtıcı beyazlatıcı etki:
Malzemeler:
3 damla nane yağı,
Yarım çay kaşığı karbonat,
3 damla limon suyu,
Yarım çay kaşığı kurutulmuş nane tozu.
Hazırlanışı: Tüm malzemeleri bir kasede karıştırın ve bununla dişlerinizi fırçalayın. Sonrasında ılık su ile ağzınızı çalkalayın.

Meyan kökü-portaka yağı çözümü
Malzemeler:
Çeyrek çay kaşığı meyan kökü tozu
Bir fiske bentonit kili tozu
3 damla portakal yağı
Hazırlanışı: , bentonit kili tozu ve portakal yağını karıştırın. Hazırladığınız bu macun ile dişlerinizi fırçalayın. 5 dakika beklettikten sonra ılık su ile ağzınızı çalkalayın.
Bu karışımlar dişlerinizi hem sağlıklı hale getirecek hem de beyaz ve güzel görünmesini sağlayacaktır. Diş çürüklerinin önüne geçecek bu yöntemler ağrılarınızı da yok edecektir.